北京铝单板厂家失之东隅收之桑榆(协和有肿瘤科吗)
发布时间:2023-03-21 01:36:41 人气:22 来源:铝单板厂家
本文作者:谭先杰,北京协和医院妇产科主任医师 “帮帮我妹妹吧,为了看病,她把房子卖了,卖了98万3000块钱……我们也是土家族,将来会以土家族的方式感谢您!” 这是一个患者的姐姐在门诊对我说的话患者本人,说话很少、很慢,很多时候都是以淡然的,确切地说是惨然的一笑,作为回答。
这是一位让我心生感激的患者【一】 小曼是一名工人,40岁,来自鄂西的一个小县城,与我的老家相距不足100公里当小曼拖着沉重的脚步,在姐姐的搀扶下走进诊室的时候,我就知道,这次可能又遇上“硬茬”了 果然,小曼的姐姐进来就递给我一沓厚厚的病历,还有一捆卷起来的CT片子。
7年之前,她因为子宫肌瘤做了手术,后来肌瘤复发了,瘤子越来越大,最近三个月长得很快 子宫肌瘤是发生在女性子宫上的良性肿瘤,子宫肌瘤剔除术后复发是再常见不过的事儿,尤其是3个以上的多发性子宫肌瘤,复发几率在60%以上。
然而,当小曼撩起衣服,露出她那被瘤子撑得像即将分娩的孕妇肚子时,我还是倒吸了一口凉气——这里面得有多少瘤子,才会把肚子撑成这个样子!而且,小曼的肚子并不像正常孕妇那样球形膨隆,而是肚脐两侧增宽的“蛙状腹”,表明小曼的腹腔内有腹水。
这不是好兆头!
谭先杰医生 图 当小曼的CT片子一张一张被贴在阅片灯箱上之后,我沉默了报告上写道:盆腹腔巨大融合性分叶状包块,下端达盆底,上端达剑突,肠管表面及肠系膜间多发低回声结节,无法计数…… 小曼看过当地多家医院,还去了省城的大医院,但都被告知已经无法手术,他们让小曼到北京的协和医院看看还有没有办法。
面对小曼尤其是她姐姐企盼和信任的目光,我无力推拒 但是,手术怎么做?虽然以前病理报告是子宫肌瘤,但根据瘤子现在的生长方式,性质可能已经变了肿瘤与肠管和血管之间的关系如何?肠管会不会像乱麻一样包裹在肿瘤上?还有,切除这么多肿瘤,小曼得付出多大代价?肠管、膀胱、输尿管、血管会不会损伤?术中会出多少血,数千还是上万毫升?会在重症监护室(ICU)住多久?......所有这些问题中,还有一个隐藏的、无法回避的问题——这,得花多少钱?。
【二】 坦白地说,我对卖房子、卖家产、卖农村流转土地后看病的患者,有着本能的担忧因为,与倾家荡产行为相伴的,是患者和家属对治疗结局的过高期望一旦结果是“人财两空”,就可能引发强烈的失望情绪,甚至不理智的行为。
小曼和她姐姐对不理想的治疗效果,真有足够思想准备吗? 在我犹豫的时候,小曼再次用一个淡然的浅笑作为回答我能读出这淡然一笑背后的心酸和无奈,更读出了小曼的决绝和坦然我毫不怀疑自己的直觉,从医多年,一个人良善与否,几句简单交谈之后,我是能够判断的。
于是,我决定再搏一把!我准备提请妇科肿瘤专业组讨论,如果讨论认为有必要手术,再提请全院会诊,共同制定治疗方案【三】 接下来的周三上午,妇科肿瘤专业组的讨论如期进行 幸运的是,讨论一致认为,小曼肿瘤生长虽然广泛,但也有可能还是良性,如果不手术,小曼的生命就到尽头了。
接下来,就是全院会诊。这项在协和实施了100多年的惯常制度,现在被称为多学科诊疗模式(MDT)。
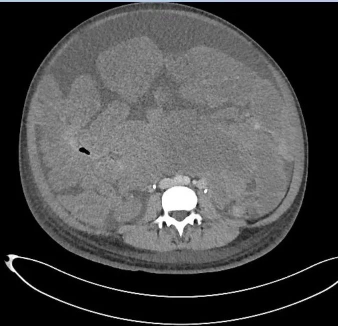
小曼的腹部CT片,灰度稍高的不规则团块均为肿瘤,谭先杰医生 图 在围绕小曼的MDT中,来自兄弟科室泌尿外科、基本外科、血管外科和平台科室麻醉科、手术室、输血科、放射科、重症监护室(ICU)的专家,一起分析讨论了小曼的病情。
讨论结论归纳为四点:第一,患者病情复杂,手术是唯一可取之策;第二,手术需要多学科协作,以妇科为主;第三,手术风险大,不可预知的因素多;最后,如果手术,各科室会全力配合 那天,我第一次与小曼和她姐姐正式谈话,我借用老师郎景和院士的名言,对她们郑重承诺:“我们不能保证治好每一个病人,但我们保证好好地治疗每一个病人。
” 接下来,就是为小曼争取手术资源,也就是排上手术 小曼的手术复杂,一整天都未必能做下来如果安排了她的手术,那个手术间当天就不可能再供其他病人使用了,这对于手术资源极其匮乏的我而言,是一个客观的困难。
幸运的是,前不久医院设立了特殊或疑难重症专用手术间如果患者的病情符合标准,就可以通过特别流程申请使用 我们成功为小曼申请到这一资源,将手术排在接下来的周三【四】 二月份的最后一个周末,小曼住进了医院。
周一,小曼到泌尿外科放置了输尿管支架管周二,小曼到放射科做了血管造影除了身体上的准备之外,还有一项重要的工作要做,那就是患者和家属思想上的准备,也就是术前谈话,现在称为病人知情同意 这是我再次正式和小曼及其亲属谈话。
等所有流程结束之后,我做了两点补充第一,经过如此多的术前准备和如此正式的谈话,说明小曼的病情很重,我们很重视,会竭尽全力第二,谈话只是知情同意的必要程序,不是免责声明如果治疗结果不如所愿,我支持你们走法律程序,但有两个词请不要出现在起诉书中:一个是草菅人命,另一个是不负责任。
可以起诉我技术不到位,或者医术不高 说最后这段话的时候,我有一种莫名的悲壮感 小曼和家属显然被我的严肃或者悲壮感染了为了缓和气氛,我最后说:“虽然手术风险的确很高,但是我这人运气不错,相信小曼运气也不错,一起努力!”。
【五】 一切准备就绪之后,我离开医院回到家里拿出手术解剖图谱复习了一遍腹腔内脏器和血管的解剖后,很早就睡觉了 这一次,我甚至没有向我的导师郎景和院士求助,因为老先生出差去了但我还是向前辈吴鸣教授做了汇报,他说如果需要,随时上台。
我还向妇科肿瘤中心主任向阳教授汇报了情况,他说他在手术室,有事可以叫他 实际上,我还给年资比我低,但手术技术很好的钟森大夫打了招呼,如果我和主治医生配合不顺手,得请他上台他慨然应允【六】 我毫无杂念地进入手术室。
我拍了拍小曼的肩膀,告诉她不用紧张,我们的麻醉团队和手术团队都很强大,做好了一切准备 一切,似乎都很完美 然而,还是出现了麻烦手术前一天,按照主管病房的李雷教授的建议,主管医生给小曼放了4000ml腹水,缓解了呼吸困难,让她平卧睡了一晚上,同时也减少了手术中快速放腹水引发循环不稳的风险。
但是,可能由于紧张等因素,小曼进入手术室后,竟然不能在手术台上平躺不仅她感觉呼吸困难,而且客观指标——血氧饱和度也迅速下降所幸,张砡医生很有经验,给小曼背后垫上大棉垫,在半坐位下进行了麻醉诱导,成功完成了气管插管。
8时42分,手术开始 我们切开腹膜进入腹腔,令在场的所有人都惊呆了: “腹腔内布满了大小不等、形状各异的肿瘤团块,恰如古罗马战士身上的盔甲,又似法国南部地中海城市尼斯那没有沙子只有鹅卵石的海滩,还像一面用不规则的石块砌出来的厚墙........。
“原本应该是小肠和大肠充填的腹腔内,竟然见不到一小段肠管,它们都被肿瘤挤压到下面去了除了面目狰狞的肿瘤之外,腹腔内唯一可见的正常器官是胃的下部(胃大弯)与胃相连的大网膜上,是一根根怒张的血管,直径是正常大网膜血管的3倍以上。
血管的两边,缀满了大大小小、如葡萄、如蚕豆、如黄豆的肿瘤结节. "手术中必须要切除的器官——子宫和双侧输卵管卵巢,完全不可见,它们被肿瘤和前两次手术后形成的粘连,死死地封闭在盆腔深处肿瘤与肠管及血管的关系,不得而知。
” 切除部分肿瘤后发现,肠管表面以及给肠管供血的肠系膜表面,布满了密密麻麻、黄豆到蚕豆大小的肿瘤结节回收肠管血液的主要血管——肠系膜下静脉,直径是正常人4倍以上,几乎和正常人的下腔静脉一样粗大 幸运的是,虽然这根惹不起的血管粗得惊人,但它没有被肿瘤侵犯。
更幸运的是,妇科肿瘤医生最惹不起的、管壁如纸一样薄、一旦破裂出血就是上千毫升的下腔静脉,也没有被肿瘤侵犯【七】 手术最重要的一步是切除子宫和双侧卵巢然而,这一操作极其艰难,甚至是整个手术中最艰难的一段。
在一层层、一块块和肠管几乎无法区分的肿瘤和肠管的粘连包裹下,子宫和双侧卵巢根本见不到,甚至用手也扪不到 同样糟糕的是,膀胱表面布满了肿瘤,与子宫之间分界不清在这一步操作中,最大的问题不是致命性大出血,而是膀胱或者肠管损伤。
可以说,作为从医30年的妇产科医生和从事妇科肿瘤专业16年的妇科肿瘤医生,是经验而不全是技巧,帮助了这一步手术的向前推进 接下来的一步,是把布满肿瘤的膀胱腹膜与膀胱本身分离,称为“反推膀胱”对于新手而言,这步操作基本相当于盘山公路,有相当难度。
但对于妇科肿瘤医生而言,这是必须会的基本操作 我们“逐一将腹盆腔各处的肿瘤与周围的肠管进行分离,结扎切断与肿瘤相连的血管,将所有直径大于0.5cm的肿瘤切除下来,修补薄弱的膀胱壁和3处有破损的肠管......"
手术记录中关于肿瘤切除过程的描述不足100字,实际上手术可以用“惨烈”来形容,切除的瘤子可以用“壮观”来描述 8时42分手术正式开始,18时22分手术结束,18时35分小曼被转送到ICU手术操作本身,历时9小时40分钟。
结果如下:手术切除直径0.5cm以上的肿瘤1150余枚,最大肿瘤18X15X8cm,最小者如黄豆大小不含被送去做冰冻病理的一大块肿瘤,剩余的肿瘤共9kg 实际上,切除的肿瘤应该更重因为,小曼入院时体重74kg,术后第5天体重51kg,除去7800ml腹水,小曼被切除的肿瘤应该在15kg以上!。
【八】 小曼被送进ICU 术后第一个24小时内要度过的关口就是出血小曼的肿瘤太多,每切除一个肿瘤就留下一个血管断端,就有出血的风险 第二天早上,我和主管医生一起去ICU查房小曼已经清醒,但还没有拔除气管插管,只能对我的呼唤做目光回应。
小曼的腹腔引流不少,是淡血性,多半是腹水 这让我放心不少,可以安心出门诊了 不幸的是,门诊即将结束的时候,我接到电话,说小曼的血红蛋白从进入ICU时的115g/L降到了78g/L,超声显示腹腔内有较多液体。
ICU医生问患者有没有腹腔内出血的可能,需不需要积极干预,也就是再次开腹止血 再次开腹或开胸圈内俗称“二进宫”,正规的叫法是“非计划再次手术”这是对手术者的考验,因为决策需要由术者做出通常而言,非计划再次手术会被评估甄别,甚至被追责,因为毕竟给病人带来了额外伤害。
我和助手一起仔细回想了手术中的情况,认为我们止血相当确切,手术结束冲洗盆腹腔时,冲洗液可以用清澈见底来形容我们判断,小曼血红蛋白下降的原因可能是术中循环血量不足,术后补液多,血液稀释的结果腹腔内的积液应该是再次产生的腹水,因为手术中小曼的腹水生成很快,可以用汹涌来形容。
于是,我请ICU医生继续申请输血,动态观察血红蛋白变化 门诊结束已经是晚上7点半,我和主管医生再次前往ICU查房小曼的气管插管已经拔掉,但很虚弱,我要将耳朵贴近她才能听见她说话小曼的第一句话是:谢谢谭医生!虽然很轻,很慢,仍然让我的疲惫一扫而光。
我们查看了小曼的血压、脉搏等生命体征以及引流液和伤口情况,心中有底了——腹腔内没有活跃出血,不考虑“二进宫” 第二天早上,ICU医生报告小曼的血红蛋白已经回升下午,小曼转回到妇科肿瘤病房 术后第一关,出血关,小曼闯过去了,有惊无险!。
接下来,小曼要面临第二关——感染关小曼是传统的开大刀,切口从耻骨一直延续到剑突,足有40cm 小曼术后第一天高热39.5℃对小曼的发热我们是有思想准备的,用上新一代抗生素,让它们去帮助小曼与病菌做斗争。
欣喜的是,小曼转回妇科肿瘤病房后的第二天,体温就降到了正常 一切,都在向好的方向发展 然而,我们一直在等待的一个重大事件,却迟迟没有发生这个重大事件,只有一个字——屁【九】 不雅的字的背后,就是小曼要面临的第三关——并发症关。
手术中我们切除了小曼肠道表面及肠系膜上的1100多个大小不等肿瘤,对肠系膜的血管破坏较多,术中还对肠管进行了修补所以,对小曼肠道功能恢复慢,我们也是有思想准备的在小曼手术后的前3天,我没有过问小曼是否排气的问题。
术后第4天,我轻描淡写地问了小曼一句:“放屁了吗?”小曼摇了摇头,仍然是淡淡一笑,但此时的笑,已经少了惨然的成分,更多的是淡定 我故作轻松地和小曼说,一定会恢复的,时间问题而已 然而,这个时间问题,却让我在接下来的几天提心吊胆。
术后第8天,我让主管医生给小曼申请一个腹部X光片,判断有无肠梗阻但当天查房的教授比我更谨慎,直接让小曼做了胸腹盆CT检查 我有点替小曼心疼,毕竟CT检查比X光摄片检查贵不少我以前也会关注病人的治疗费用,但没有这次在意。
原因在于,从得知小曼卖了房子看病开始,我内心深处就有一个强烈的“小心思” 这个小心思就是:不仅要帮小曼治病,还要让小曼用剩下的钱,去赎回房子或者购置一套面积小点的房子 当然,萌生这个“小心思”还有另外一个原因。
小曼是鄂西土家族,我是渝东土家族小曼的姐姐给我发信息说:“等回去后,小曼要给您送头猪”这种感谢医生的古老方式和我老家极其相似,只不过老家不是送一整头猪,而是送一条又肥又大的猪蹄膀医生会像锦旗一样,把它们挂起来。
【十】 术后第10天,小曼报告,她“放屁”了,而且是两个 大功基本告成! 实际上,在此之前的两天,小曼的妈妈和姐姐已经把锦旗送到了我的门诊合影的时候,我虽然笑得头发都飞起来了,心里却很忐忑毕竟小曼还没有排气,警报并没有解除,结局尚不确定.......我说锦旗送得有些早了,出院后再送也来得及!。
谭先杰医生 图 但是,小曼的妈妈用我完全能听懂的土家族方言说:“不管是死是活,我们都谢谢您了!“ 这句话,比送锦旗、比送一口猪,更让我感动!【十一】 术后第11天,小曼的病理报告出来了:低级别子宫内膜间质肉瘤。
这可以说是一个坏消息中的好消息子宫肉瘤是子宫上罕见的恶性肿瘤,包括子宫平滑肌肉瘤、子宫癌肉瘤和子宫内膜间质肉瘤前两种恶性程度高,后一种恶性程度低,尤其是低级别的类型小曼术后不需要辅助放疗和化疗,可以用抑制雌激素的药物,如大剂量孕激素,或者抑制将皮下脂肪转化为雌激素的酶,即芳香化酶抑制剂,就能延缓甚至阻止肿瘤的发展。
我第一时间将这个的消息告诉了小曼和她姐姐 术后第18天,小曼出院了 我对小曼说,回去买好房子后,一定要告诉我一声,我借此回趟老家我会去给她乔迁新居道贺,通俗的说法是“温居“,土家族人称为“断水酒”。
因为老家修建房子时,上梁盖瓦是最后一道工序,需要集全村之力,良辰吉日,短时间内,赶在可能的下雨之前完工,将雨水阻断在房屋之外,然后喝酒庆贺 我不会把小曼送给我的那口猪带走,但是,我会在小曼家吃下一大碗土家族红烧肉,喝上几碗“土家甩碗酒”,那一定很香,很醉……
相关新闻
- 铝单板厂家联系电话号码高效便捷种类齐全(红米多少个系列) 2023-05-03
- 南昌铝单板厂家电话按照客户要求定制(realme 真我gt neo 5g怎么样) 2023-05-03
- 木纹铝单板厂家直销专业售后品质保证(红米快充多少钱一个) 2023-05-03
- 铝单板厂家排名及价格全国发货及时供应(redmi k60pro) 2023-05-03
- 铝单板厂家哪家好全国发货及时供应(红米note128g多少钱) 2023-05-03
- 铝单板厂家联系电话号码高效便捷种类齐全(红米多少个系列) 2023-05-03
- 承德铝单板厂家佛是金装人是衣装(波兰吞并切欣) 2023-05-02
- 张家口铝单板厂家哪家好塞翁失马焉知非福(英国老师几点上班) 2023-05-02
- 保定铝单板批发厂家养兵千日用兵一时(西安有几家世界500强企业) 2023-05-02
- 石家庄铝单板批发厂家一言既出驷马难追(中国在2030年的五大超级都市圈) 2023-05-02


客服